
LUVE Lifting Laser
루브 리프팅은,
왜 효과를 바로 느낄 수 있을까?
당신의 피부를 데이터로
분석하는 커스텀 리프팅 시스템
루브의 리프팅은 감(感)이 아닌 데이터로 설계됩니다.
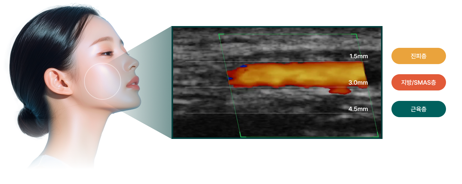
피부층을 초음파로 정밀하게 진단하고,
당신의 얼굴 구조에 꼭 맞는 3단계 커스텀 플랜으로 정확한 타겟층에 에너지를 전달합니다.
처짐유형에 맞춘 디자인
얼굴형, 피부 탄력도, 지방 분포를 고려해 대표원장이 직접 리프팅 방향과 각도를 설계합니다. 자연스러운 윤곽을 위한 1:1 디자인 리프팅.
초음파 디자인 (SONOMI 진단)
초음파 진단장비 SONOMI로 피부층을 실시간 확인하여 자극이 필요한 타겟층(SMAS, 진피 등)에만 정확한 에너지를 전달합니다.
복합 리프팅 계획
피부 두께, 지방량, 탄력 상태를 분석해 초음파(HIFU), 고주파(RF), 실리프팅 등 맞춤 조합으로 에너지 강도를 세밀하게 설계합니다. 한 사람을 위한 ONE PLAN SYSTEM.
LUVE Lifting Laser
보면서 하는 리프팅은
정확하고 확실합니다.
루브의 리프팅은 같은 샷수라도 결과가 다릅니다.
그 이유는, 피부층을 직접 보고 맞춤 조절하는 초음파 진단 시스템 때문입니다.
LUVE Lifting Laser
초음파 진단이
만들어내는 차이
LUVE Lifting Laser
루브가 보는
‘리프팅’의 본질
처짐은 표면 문제가 아닙니다.
진피의 콜라겐·엘라스틴 감소, 피하지방의 재배치, SMAS(섬유근막층)의 이완이 겹쳐 나타납니다.
그래서 루브는 한 가지 기기로 모두 해결하려 하지 않습니다.
진피 – 지방 – SMAS 각 층에 맞는 정확한 에너지, 깊이를 선택합니다.
LUVE’S PROTOCOL
루브의
1:1 리프팅 프로토콜
LUVE Lifting Map
LUVE 리프팅 맵
LUVE Lifting Map
당김의 차이를 만드는
루브 시그니처 장비
올리지오키스Oligio Kiss
고주파 니들링 장비 – 피부 속 콜라겐을 깨워주는 리프팅
리프팅 종류
초음파, 고주파
효과
모공·흉터 개선, 피부결 정돈, 진피 전층 콜라겐 재생, 탄력 강화
다운타임
약간의 붉음·붓기 → 1~3일 내 진정 (메이크업은 다음날 가능)
더블타이트Double Tight
스킨부스터 시술과 고주파 치료가 한번에 가능
리프팅 종류
고주파 타이트닝
효과
턱선·볼·팔자 주름 등 처짐 개선, 피부 타이트닝, 윤곽 정리
다운타임
시술 직후 열감·붓기 약간 → 바로 일상생활 가능
DIFFERENCE LUVE
리프팅은 결국,
내 피부에 맞는 설계입니다.
당신의 얼굴을 가장 자연스럽게,
가장 오래도록 지켜드립니다.
루브는 레이저를 ‘많이 쏘는’ 것이 아니라,
내 피부에 맞게 정확히 쏘는 것이 진짜 리프팅이라고 생각합니다.
콜라겐을 깨우는 힘,
나만의 맞춤 리프팅.
그것이
루브 리프팅의 노하우입니다.